Volume 16, Issue 6 (Special issue (Nov-Dec) 2022)                   mljgoums 2022, 16(6): 45-50 | Back to browse issues page


XML Print


Download citation:
BibTeX | RIS | EndNote | Medlars | ProCite | Reference Manager | RefWorks
Send citation to:

Jamal I, . S, Choudhary V. Hypoplastic Acute Myeloid Leukemia in a COVID-19 Patient: A Diagnostic Dilemma(Case Report). mljgoums 2022; 16 (6) :45-50
URL: http://mlj.goums.ac.ir/article-1-1517-en.html
1- Department of Hematology, IGIMS PATNA, Bihar, India
2- Department of Hematology, IGIMS PATNA, Bihar, India , shuchi.smita123@gmail.com
3- Department of Hematology, IGIMS PATNA, Bihar, India,
Full-Text [PDF 559 kb]   (1371 Downloads)     |   Abstract (HTML)  (4163 Views)
Full-Text:   (1566 Views)
INTRODUCTION
Hypoplastic acute myeloid leukemia (AML) is an infrequent entity that constitutes 5-12% of all cases of AML (1). It usually develops secondary to radiation or chemotherapy (2). Hypoplastic AML is a diagnostic and therapeutic challenge as it closely mimics aplastic anemia and at times remains undiagnosed for a long time. Coronavirus disease 2019 (COVID-19) causes immunosuppression and introducing anti-cancer and immunosuppressant drugs for the treatment of acute leukemia can further deteriorate the clinical condition. Thus, proper risk-benefit ratio assessment is a must for the appropriate management of |COVID-19 patients with AML. Here, we present a case of de novo hypoplastic AML that was incidentally diagnosed with COVID-19. This case report highlights that superinfection with COVID-19 in hematological malignancies further complicates diagnostic and therapeutic management.

CASE PRESENTATION
A 65-year-old male patient presented with complaints of mild to moderate, intermittent fever along with dry cough and generalized weakness for 15 days. He also complained of progressive dyspnea for 15 days. His past medical record was mostly uneventful except for two episodes of blood transfusion done for severe anemia. Pallor and mild hepatosplenomegaly were present on examination. Real-time PCR from nasopharyngeal swab was positive for COVID-19. A complete blood count was performed by using a fully automated hematology analyzer (Siemens Advia 2120i, Germany), and a peripheral blood smear was also prepared and microscopically studied (Table 1).
Table 1- Hematological parameters of the patient
Hematological parameters Values
Hemoglobin 7.4 gm%
Total leukocyte count 4,230/cumm
Differential leukocyte count Neutrophil: 62%
Lymphocyte: 30%
Monocyte: 6%
Eosinophil: 2%
Platelet count 65,000/cumm

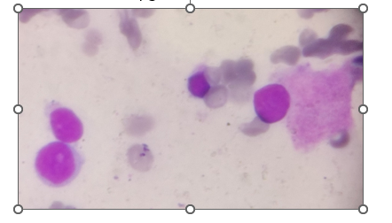
Figure 1- Bone marrow aspirate showing infiltration by blasts (Leishman stain, 100X magnification).


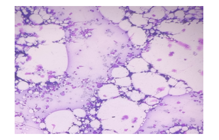
Figure 2- Bone marrow aspirate showing infiltration of blasts in a hypoplastic marrow represented by increased fat spaces (Leishman stain, 40X mganification)

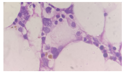
Figure 3- Bone marrow biopsy showing infiltration of blasts in a hypoplastic marrow (hematoxylin and eosin staining, 100X magnification)

Figure 4- Flow cytometry results with SSC and CD45 showing dim CD45 blasts

Figure 5- Flow cytometry results showing HLA-DR, CD13, CD33, and c-MPO positive scatter plots
Peripheral blood smear revealed atypical cells and microcytic hypochromic red blood cells with pencil cells and a few teardrop cells. The COVID-19 severity score was determined as 12/25 per chest computed tomography. Liver function tests including alanine transaminase and aspartate aminotransferase were within normal limits with reversed A:G ratio of 0.7:1. Renal function tests were normal. Serum iron and ferritin were 65 µ g/dl and 320 ng/ml, respectively, with a transferrin saturation of 34%. Ultrasound abdomen showed an enlarged liver (14.2 cm) with normal echotexture, and the spleen was also mildly enlarged (12.4 cm). Bone marrow aspiration with biopsy was performed. Bone marrow aspirate showed a hypocellular marrow with suppression of trilineage hematopoiesis along with 16% blasts (Figures 1 and 2).
Bone marrow imprint and biopsy showed a hypoplastic marrow with infiltration with blasts suggesting acute leukemia (Figure 3). Flow cytometry (BD FACS Canto II ) on bone marrow aspirate showed 28% of cells to be expressing dim CD45 with HLA-DR, CD13, CD33, and cytoplasmic MPO expression, favoring AML-M2 subtype (Figures 4 and 5). Treatment for AML was started with a standard chemotherapy regimen, but the patient’s condition deteriorated and he succumbed to his illness.

DISCUSSION
Hypoplastic AML is a big challenge both for hematopathologists and treating physicians as it is extremely difficult to differentiate between hypoplastic AML and hypoplastic myelodysplastic syndrome or aplastic anemia(3). The pathogenesis of hypocellularity in acute leukemia is still debatable. It is not clear whether leukemia is secondary to hypocellularity or the primary event. It has been suggested that leukemic cells inhibit myelopoiesis through a humoral mechanism (4). In our case, COVID -19 superinfection added to the ambiguity in the development of hypoplasia.
 Acute leukemias are usually present with hypercellular bone marrow. However, less than 10% of the cases may have hypocellular bone marrow. Hypocellular acute leukemia is currently defined as acute leukemia with a bone marrow cellularity ≤20%, although in some reports, cellularity less than 40 % is considered to be hypocellular (5). Nagai et al. proposed pancytopenia with a rare appearance of blasts in peripheral blood, <40% bone marrow cellularity, >30% blasts in the bone marrow of all nucleated cells, and myeloid phenotype of leukemic blasts by MPO staining as the diagnostic criteria for hypoplastic AML (6).
 Hypocellular AML is more common than hypoplastic acute lymphoblastic leukemia (ALL) (7,8). It mostly occurs in adults and is secondary to radiation or chemotherapy (9). By contrast, hypocellular ALL occurs predominantly in children and constitutes 2-3% of childhood ALL (10). Hypoplastic acute leukemia should be differentiated from hypoplastic myelodysplastic syndrome (MDS) and aplastic anemia, as these also have peripheral cytopenias and bone marrow hypocellularity. In addition, hypoplastic MDS cases may not have very evident dysplastic features because of low cellularity, making its diagnosis extremely challenging. Clinical parameters such as duration of symptoms, history of the antecedent hematologic disorder, or prior chemotherapy or radiotherapy aid the diagnosis (11,12).
No significant difference in the cytogenetic abnormalities between patients with hypocellular AML and those with non-hypocellular AML has been reported. However, molecular studies show a lower frequency of RAS and FLT3 mutations in patients with hypocellular AML similar to patients with MDS (13). Overall survival, remission duration, and event-free survival have been reported to be comparable to that of non-hypocellular AML. Therefore treatment options are similar to that of non-hypocellular AML (14).
Some researchers have tested the serum of patients with hypoplastic acute leukemia and shown the inhibitory role of leukemic blasts on normal hematopoiesis. The inhibitory substances identified include leukemia inhibitor factor, stem cell inhibitor factor, tumor necrosis factor, prostaglandin E, and decreased or aberrant stimulatory factors such as granulocyte colony-stimulating factor (15,16).
Hypoplastic acute leukemia is usually secondary in nature and mostly develops after an antecedent hematologic malignancy, such as MDS, primary myelofibrosis, or radiation or chemotherapy (17,18). In a series of 123 patients, nearly half the cases of hypocellular AML were composed of secondary AML, either with an antecedent hematologic disorder or prior history of chemotherapy or radiotherapy (19).

CONCLUSION
To summarize, hypoplastic acute leukemia is a challenging entity characterized by low bone marrow cellularity, prominent cytopenias, and in many cases, clinically simulate AA and hypoplastic MDS. It is important to differentiate these conditions as treatment modalities differ. The disease usually has an indolent course and commonly achieves a good response to remission induction therapy. Despite the low incidence of hypoplastic acute leukemia, it should be considered in the case of hypocellular bone marrows to avoid misdiagnosis and mismanagement. A comprehensive multiparametric diagnostic approach including clinical features, morphology, cytochemistry, immunophenotyping, and genetic analysis is essential for its diagnosis. Our case report also highlights the therapeutic challenge of treating a hematological malignancy during the COVID-19 pandemic. Superinfection with COVID-19 in patients with hematological malignancies further complicates diagnostic and therapeutic management.

ACKNOWLEDGMENTS
None.

DECLARATIONS
FUNDING
The authors received no financial support for the research, authorship, and/or publication of this article.

Ethics approvals and consent to participate
Informed consent was taken from the patient after ensuring him that his personal information will remain confidential. 

CONFLICT OF INTEREST
The authors declare that there is no conflict of interest regarding the publication of this article.
Research Article: Case Report | Subject: Pathology
Received: 2022/05/11 | Accepted: 2022/10/10 | Published: 2022/11/25 | ePublished: 2022/11/25

References
1. Needleman SW, Burns CP, Dick FR et al. Hypoplastic acute leukemia. Cancer. 1981; 48: 1410-1414. [View at Publisher] [DOI:10.1002/1097-0142(19810915)48:63.0.CO;2-4] [PubMed] [Google Scholar]
2. Berdeaux DH, Glasser L, Serokmann R, Moon T, Durie BG. Hypoplastic acute leukemia: review of 70 cases with multivariate regression analysis. Hematol Oncol .1986;4:291-305 . [View at Publisher] [DOI:10.1002/hon.2900040406] [PubMed] [Google Scholar]
3. Klingemann HG, Storb R, Sanders J et al. Acute lymphoblastic leukaemia after bone marrow transplantation for aplastic anaemia. Br J Haematol.1986; 63:47-50 . [View at Publisher] [DOI:10.1111/j.1365-2141.1986.tb07493.x] [PubMed] [Google Scholar]
4. Matloub YH, Brunning RD, Arthur DC et al. Severe aplastic anemia preceding acute lymphoblastic leukemia. Cancer .1993; 71: 264-268. [View at Publisher] [DOI:10.1002/1097-0142(19930101)71:13.0.CO;2-8] [PubMed] [Google Scholar]
5. Tuzuner N, Cox C, Rowe JM, Bennett JM. Hypocellular acute myeloid leukemia: the Rochester (New York) experience. Hematol Pathol .1995;9: 195-203. [PubMed] [Google Scholar]
6. Nagai K, Kohno T, Chen YX et al.Diagnostic criteria for hypocellular acute leukemia: a clinical entity distinct from overt acute leukemia and myelodysplastic syndrome. Leuk Res.1996; 20:563-574. [View at Publisher] [DOI:10.1016/0145-2126(95)00136-0] [PubMed] [Google Scholar]
7. Nimubona S, Grulois I, Bernard M, Drénou B, Godard M, Fauchet R, et al . Complete remission in hypoplastic acute myeloid leukemia induced by G-CSF without chemotherapy: report on three cases. Leukemia. 2002;16: 1871-1873. [View at Publisher] [DOI:10.1038/sj.leu.2402592] [PubMed] [Google Scholar]
8. de Bock R, de Jonge M, Korthout M, Wouters E, van Bockstaele D, van der Planken M,et al.Hypoplastic acute leukemia: description of eight cases and search for hematopoietic inhibiting activity. Ann Hematol. 1992; 65: 247-252. [View at Publisher] [DOI:10.1007/BF01836068] [PubMed] [Google Scholar]
9. Jain D, Singh T, Kumar N. Hypocellular acute myeloid leukemia with bone marrow necrosis in young patients: two case reports. J Med Case Rep. 2009; 3:27. [View at Publisher] [DOI:10.1186/1752-1947-3-27] [PubMed] [Google Scholar]
10. Sinha S, Bhargava M. Fanconi anemia presenting as an "evolving" acute leukemia-diagnostic challenges. Indian J Med Paediatr Oncol .2013;34:305-308. [DOI:10.4103/0971-5851.125251] [Google Scholar]
11. Fukushima T, Uchida M, Iwasaki H, Kamiya K, Tanaka T, Yoshimura T, et al. Blastic crisis of primary myelofibrosis associated with multiple myeloblastomas Rinsho Ketsueki. 1990; 31: 95-99. [PubMed] [Google Scholar]
12. Jurisic V, Terzic T, Pavlovic S, Colovic N, Colovic M.Osteolytic lesions in leukemic transformation of myelofibrosis. Arch Oncol. 2007; 15:45-47. [View at Publisher] [DOI:10.2298/AOO0702045J] [PubMed] [Google Scholar]
13. Mesa RA, Verstovsek S, Cervantes F, Barosi G, Reilly JT, Dupriez B, et al . Primary myelofibrosis. In: Swerdlow SH, Campo E, Harris NL et al (eds) WHO classification of tumours of haematopoietc and lymphoid tissues. Leuk Res. 2007; 31(6): 737-40. [View at Publisher] [DOI] [PubMed] [Google Scholar]
14. Bain BJ, Clark DM, Wilkins BS. Infective and reactive changes. In: Bone marrow pathology. 2010.4th ed. Wiley-Blackwell, Oxford:110-165.
15. Reid MM, Summerfield GP. Distinction between aleukaemic prodrome of childhood acute lymphoblastic leukaemia and aplastic anaemia. J Clin Pathol. 1992; 45:697-700. [View at Publisher] [DOI:10.1136/jcp.45.8.697] [PubMed] [Google Scholar]
16. Breatnach F, Chessells JM, Greaves MF. The aplastic presentation of childhood leukaemia: a feature of common-ALL. Br J Haematol. 1981; 49(3): 387-93. [View at Publisher] [DOI:10.1111/j.1365-2141.1981.tb07241.x] [PubMed] [Google Scholar]
17. Kröber SM, Horny HP, Steinke B, Kaiserling E. Adult hypocellular acute leukaemia with lymphoid differentiation. Leuk Lymphoma. 2003; 44(10): 1797-801. [View at Publisher] [DOI:10.1080/1042819031000099661] [PubMed] [Google Scholar]
18. Lee M, Chubachi A, Niitsu H, Miura I, Yanagisawa M, Hirokawa M, et al. Successful hematopoietic reconstitution with granulocyte colony-stimulating factor in a patient with hypoplastic acute myelogenous leukemia. Intern Med. 1995; 34(7): 692-4. [View at Publisher] [DOI:10.2169/internalmedicine.34.692] [PubMed] [Google Scholar]
19. Al-Kali A, Konoplev S, Lin E, Kadia T, Faderl S, Ravandi F, et al. Hypocellular acute myeloid leukemia in adults: analysis of the clinical outcome of 123 patients. Haematologica. 2012; 97(2): 235-40. [DOI:10.3324/haematol.2011.046672] [PubMed] [Google Scholar]
20. Gavillet M, Klappert JC, Spertini O, Blum S. Acute leukemia in the time of COVI-19. Leuk Res. 2020; 92: 106353. [DOI:10.1016/j.leukres.2020.106353] [PubMed] [Google Scholar]
21. Buyuktas D, Acar K , Sucak G , Toptas T , Kapucu I, Bekoz H , et al. COVID-19 infection in patients with acute leukemia; Istanbul experience. Am J Blood Res. 2021; 11(4): 427-437. [View at Publisher] [PubMed] [Google Scholar]

Add your comments about this article : Your username or Email:
CAPTCHA

Send email to the article author


Rights and permissions
Creative Commons License This work is licensed under a Creative Commons Attribution-NonCommercial 4.0 International License.